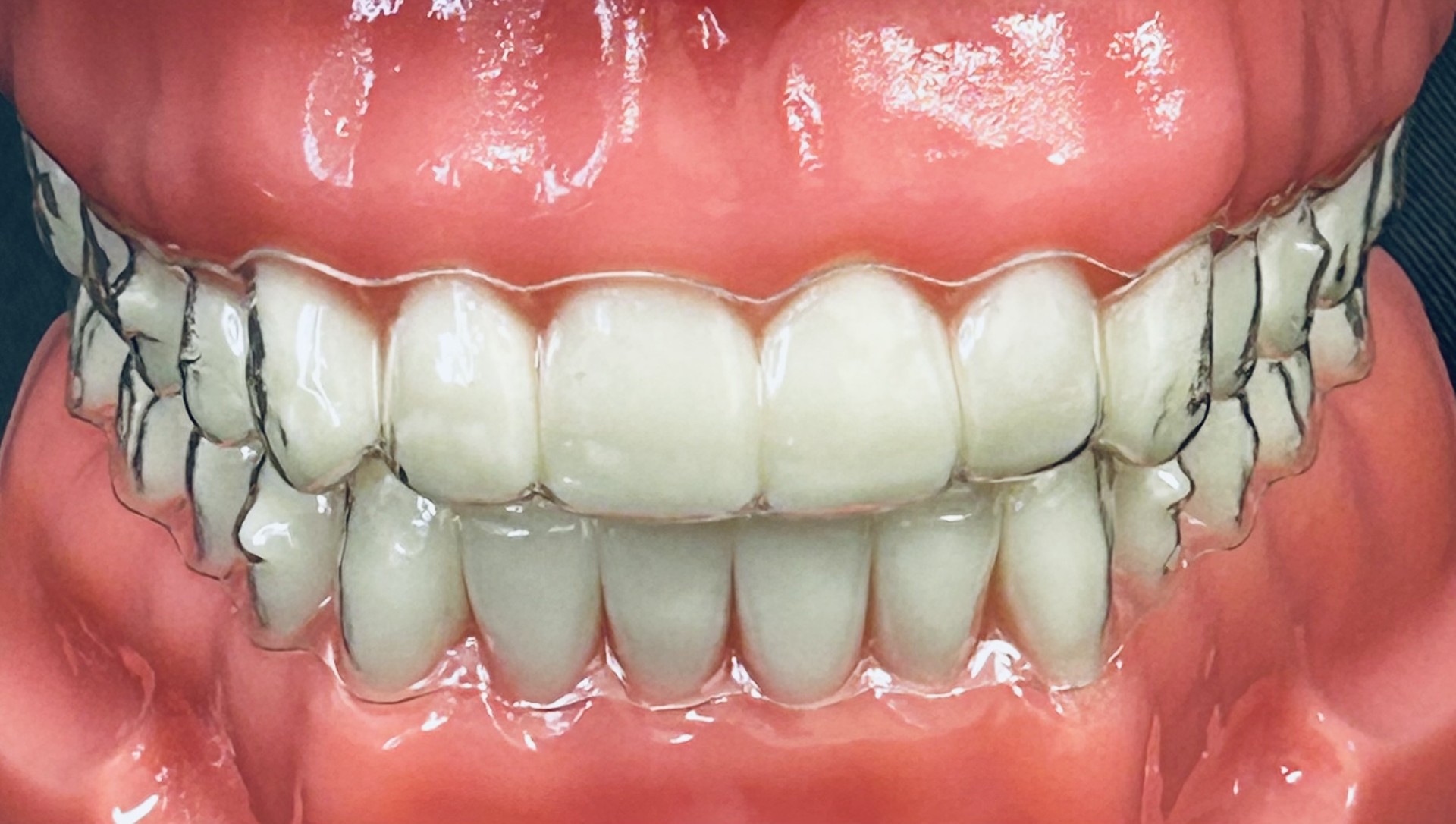
Invisalign

For adults looking to address orthodontic problems we offer Invisalign. We have the technology to scan an image of your teeth directly to Invisalign. Aligners can be fabricated and delivered in a simple and effective way to straighten your teeth.

82ecf9a9-a21a-450a-9901-5c2144fb9571

Adult Invisalign Orthodontics
Retainers
iTero Scanning System

5b8abc5c-0df6-4dbb-85d0-fe42c55835a3